AI steps in to detect the world’s deadliest infectious disease

There’s a global shortage of radiologists. Now artificial intelligence is helping speed up the diagnosis of tuberculosis in hard-to-reach communities.
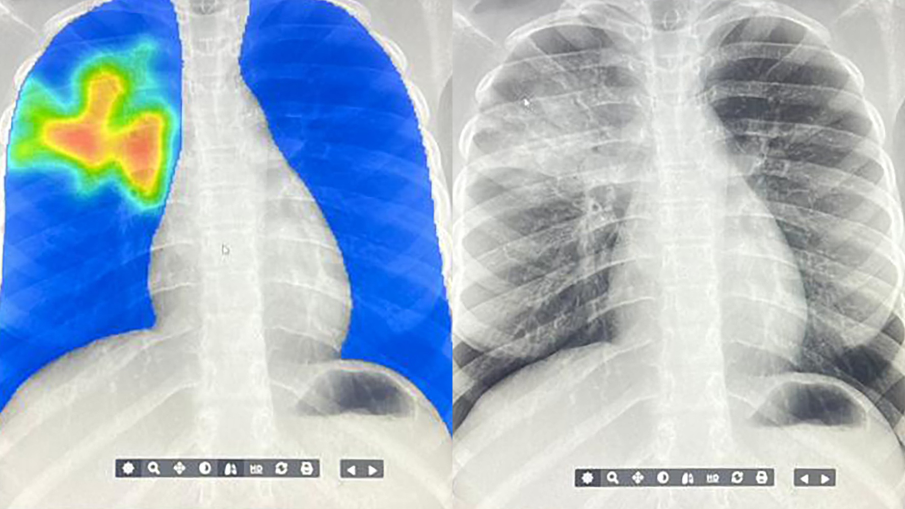
(Image credit: ARCAD Santé PLUS)


There’s a global shortage of radiologists. Now artificial intelligence is helping speed up the diagnosis of tuberculosis in hard-to-reach communities.
(Image credit: ARCAD Santé PLUS)